Scar Revision Techniques for Improved Skin Appearance in Newport Beach, Orange County
Lasers are ideally suited for the effective treatment of a wide range of scar tissues.
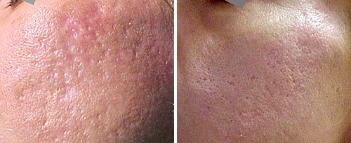
Er:YAG skin resurfacing is used for gentle ablation of scar tissue and activation of collagen remodeling. Acne scars in particular respond well to Er:YAG treatments. For hypertrophic scars, clinical research conducted with the Nd:YAG wavelength show further improvement in the aesthetic appearance and overall tissue quality of a scar, including erythema, volume, pliability, etc.
A Synergistic Treatment Solution
With this dual-wavelength scar-revision therapy, both nonablative Nd:YAG and fractional-ablative Er:YAG wavelengths are combined as part of a single comprehensive scar-treatment regimen, with immediate visible results that surpass that of traditional laser-based and conventional scar treatment techniques. Dual-wavelength scar treatment therapies provide a highly effective solution that not only addresses a scar’s aesthetic appearance but also helps to resolve complicating factors with the scar’s vascular feeding system.

